Gå direkt till innehåll

Nyhet -

Tre LEAD-bolag med på Ny Tekniks 33-lista

Ny Teknik och Affärsvärlden presenterade den 29 mars sin lista över Sveriges 33 hetaste unga teknikbolag. I stenhård konkurrens med över 200 nominerade bolag valdes de tre LEAD-bolag ut bland de 33 hetaste.

- Actiwave ett LEAD-bolag som har utvecklat ett revolutionerande elektroniksystem för ljudåtergivning. Lösningen skapar helt nya möjligheter att leverera ljudupplevelser i såväl privat som offentlig miljö.
- Det här kan bli nästa stora ljudrevolution, säger vd Pär Gunnars Risberg.

- Neo Technology som är LEAD-alumn utvecklar och säljer en revolutionerande ny typ av databas för tillämpningar inom webb 2.0 och 3.0.

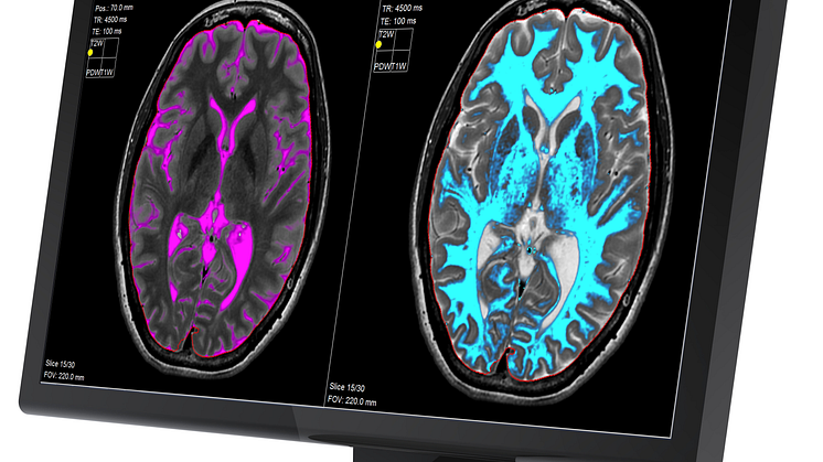
- Synthetic MR ett LEAD-bolag som utvecklar programvara som får undersökningen i magnetkameran att gå dubbelt så snabbt. Det sparar både tid och pengar. Dessutom ger bilderna bättre underlag för diagnos. Tekniken utvärderas just nu av världsledande magnetkameratillverkare.

LEAD är en företagsinkubator som stöttar utvecklingen av innovativa, unika och tillväxtorienterade bolag genom en strukturerad process och anpassad coachning. Verksamheten ägs av Linköpings Universitet och finansieras därutöver av Norrköpings respektive Linköpings kommun samt Innovationsbron. I dagsläget stöttar verksamheten 20 bolag. www.leadincubator.se

Läs hela pressreleasen

Ämnen

Kategorier

Regioner

Kontakter

Relaterat innehåll

  • Sahlgrenska Universitetssjukhuset investerar i SyMRI®

    LEAD-alumnen SyntheticMR AB meddelar idag i ett pressmeddelande att de har ingått ett kommersiellt avtal med Sahlgrenska Universitetssjukhuset avseende SyMRI, SyntheticMRs programvara som effektiviserar och förbättrar undersökningar med magnetisk resonanstomografi (MR). Universitetssjukhuset kommer att använda SyMRI i samband med forskning om multipel skleros (MS).