Bild -
thymus-DT-Marten-Sandstedt-2023-sv
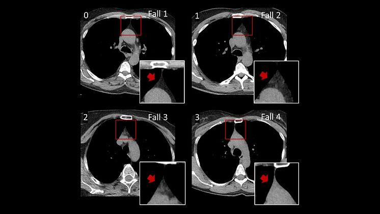
Thymusvävnad är ljus medan fettvävnad är mörk vid datortomografi. Här ses olika grader av fettomvandling av thymus, från helt fettomvandlad (0) till mestadels bevarad thymusvävnad (3).
      
      
        
          
            Mårten Sandstedt
          
          
      
  - Licens:
- Medieanvändning
                  Innehållet får laddas ner, användas och delas i olika mediekanaler av t.ex. journalister, bloggare, krönikörer, opinionsbildare etc., i syftet att förmedla, redogöra för och kommentera ert pressmeddelande, inlägg eller information, så länge innehållet används oförändrat och i dess helhet. Upphovsmannen ska anges i den omfattning och på det sätt god sed kräver (vilket bl.a. innebär att fotografer till bilder nästan alltid måste anges).
- Av:
- Mårten Sandstedt
- Upphovsrätt:
- Mårten Sandstedt et al, https://doi.org/10.1186/s12979-023-00371-7, changes have been made by the creator, https://creativecommons.org/licenses/by/4.0/
- Filformat:
- .jpg
- Storlek:
- 1280 x 720, 163 KB