Skip to content

Press release -

Live cell imaging using a smartphone

A recent study from Uppsala University shows how smartphones can be used to make movies of living cells, without the need for expensive equipment. The study is published in the open access journal PLOS ONE, making it possible for laboratories around the world to do the same thing.

Live imaging of cells is a very powerful tool for the study of cells, to learn about how cells respond to different treatments such as drugs or toxins. However, microscopes and equipment for live imaging are often very expensive.

In the present study, old standard inverted microscopes that are very abundant at Universities and hospitals were upgraded to high quality live imaging stations using a few 3D-printed parts, off-the-shelf electronics, and a smartphone. It was shown that the resultant upgraded systems provided excellent cell culture conditions and enabled high-resolution imaging of living cells.

“What we have done in this project isn’t rocket science, but it shows you how 3D-printing will transform the way scientists work around the world. 3D-printing has the potential to give researchers with limited funding access to research methods that were previously too expensive,” says Johan Kreuger, senior lecturer at the Department of Medical Cell Biology at Uppsala University.

“The technology presented here can readily be adapted and modified according to the specific need of researchers, at a low cost. Indeed, in the future, it will be much more common that scientists create and modify their own research equipment, and this should greatly propel technology development,” says Johan Kreuger.


For more information, please contact:

Johan Kreuger, Department of Medical Cell Biology, Uppsala University, Tel: +46-(0)737608101, email: Johan.Kreuger@mcb.uu.se  kreugerlab.wordpress.com

Rodrigo Hernández Vera et al. A modular and Affordable Time-Lapse Imaging and Incubation System Based on 3D-printed Parts, a Smartphone, and Off-The-Shelf Electronics. PLOS ONE
http://dx.plos.org/10.1371/journal.pone.0167583

Topics


Uppsala University -- quality, knowledge, and creativity since 1477
World-class research and outstanding education of global benefit to society, business, and culture.
Uppsala University is one of northern Europe's highest ranked academic institutions. www.uu.se

Contacts

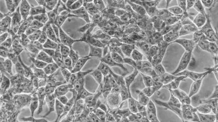
  • Human kidney cells
    License:
    Creative Commons Attribution, no derivatives
    File format:
    .tiff
    Size:
    1843 x 1843, 3.09 MB
    Download
  • Johan Kreuger
    License:
    Creative Commons Attribution, no derivatives
    File format:
    .jpg
    Size:
    3500 x 5250, 7.8 MB
    Download
  • Johan Kreuger
    License:
    Creative Commons Attribution, no derivatives
    File format:
    .jpg
    Size:
    3500 x 2333, 3.61 MB
    Download
  • Upgraded standard microscope
    License:
    Creative Commons Attribution, no derivatives
    File format:
    .jpg
    Size:
    3500 x 2271, 4.09 MB
    Download
  • Play video
    Johan Kreuger about the new study
    License:
    Creative Commons Attribution, no derivatives
    File format:
    .mov
    Length:
    0:52
    Download