Gå direkt till innehåll
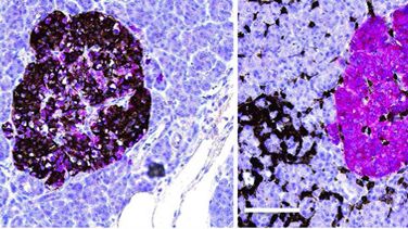
Bilden är tagen ifrån studien: Insulitis in human diabetes: a histological evaluation of donor pancreases.

Nyhet -

Ny studie kring uppkomsten av diabetes

I februari-utgåvan av den vetenskapliga tidskriften Diabetologia publicerades en studie genomförd vid Uppsala Universitet. Studien är viktig för att förstå vad som händer i sjukdomsuppkomsten av både typ 1 - och typ 2 diabetes. Marcus Lundberg, Peter Seiron, Sofie Ingvast, Olle Korsgren och Oskar Skog är de som har bidragit till studien och arbetar vid institutionen för immunologi, genetik och patologi vid Uppsala Universitet.

Diabetes Wellness Sverige har pratat med Marcus Lundberg som förklarar vad studien innebär.

–Vi vet väldigt lite om situationen i människans bukspottskörtel både vid typ 1- och typ 2 diabetes. Detta p.g.a. att det finns få tillgängliga biopsier (vävnadsprover) från mänskliga bukspottskörtlar. Men ett tidigare fynd som gjorts i bukspottskörteln hos individer med typ 1 diabetes är langerhanska öar omringade av olika immunceller. Detta fenomen kallas för ”insulit”.

De Langerhanska öarna är grupper av celler i bukspottskörteln som består av insulin-producerande β-celler men även bl.a. α- δ- och γ-celler vilka producerar andra hormoner.

– 2013 bestämde en expertgrupp hur insulit skulle definieras. Tack vare organdonationer och forskningsanslag bl.a. från Diabetes Wellness Sverige har vi kunnat undersöka bukspottskörteln från flera individer med typ 1- eller typ 2 diabetes. Till vår förvåning upptäckte vi att ett stort antal (28%) av dem med typ 2 diabetes hade en så kraftig ansamling av immunceller (p.g.a. inflammation) i bukspottskörteln att de nuvarande kriterierna för insulit uppfylldes. Vidare experiment visade att det var olika sub-typer av immunceller i bukspottkörteln vid typ 1 - och typ 2 diabetes. Baserat på detta föreslog vi hur begreppet insulit bör omdefinieras för att bättre beskriva fenomenet som förekommer hos typ 1 diabetiker. I vidare studier är det viktigt att fortsätta klargöra de olika immuncellernas roll vid uppkomsten av typ 1-, respektive typ 2 diabetes.

Relaterade länkar

Ämnen

Kategorier

Relaterat innehåll

  • Julia lever med diabetes, epilepsi och en ryggmärgsskada

    Julia Andersson, 28 fick diabetes typ 1 när hon var 6 år gammal. Förutom sin diabetes opererades Julia för en tumör i levern vid 17 års ålder, tumören gick att operera bort men något annat gick snett under operationen och när Julia vaknade var hon förlamad från naveln och ned. Det visade sig sedan vara en ryggmärgsskada. Vid 23 års ålder fick hon även diagnosen epilepsi. Julia är en aktiv kvinna m